إنقاذ ذراع طفلة من البتر بعد استئصال ورم نادر بعملية دقيقة في سوهاج
كتب : مصراوي
-
عرض 3 صورة
-
عرض 3 صورة
-
عرض 3 صورة
سوهاج – عمار عبد الواحد:
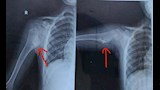
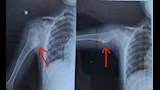
نجح فريق طبي متخصص بوحدة جراحات اليد والجراحات الميكروسكوبية في مستشفى سوهاج الجامعي، في إجراء عملية جراحية دقيقة لطفلة تبلغ من العمر 10 سنوات، كانت تعاني من ورم نادر وضاغط أعلى عظمة العضد، هدد ذراعها بمضاعفات خطيرة، أبرزها الغرغرينا وفقدان كامل لوظيفة الذراع.
وقال الدكتور حسان النعماني، رئيس جامعة سوهاج، إن الورم شكّل خطرًا كبيرًا نتيجة ضغطه على الشريان الرئيسي المغذي للذراع، إلى جانب تأثر الأعصاب الطرفية للضفيرة العصبية، مشيرًا إلى أن العملية الناجحة تأتي في إطار الطفرة التي تشهدها مستشفيات الجامعة في مستوى الخدمة الطبية، لا سيما في التخصصات الدقيقة.
وأكد الدكتور مجدي القاضي، عميد كلية الطب البشري ورئيس مجلس إدارة المستشفيات الجامعية، أن هذه العملية تُعد من التدخلات الجراحية المعقدة، وتتطلب مهارات فائقة وتنسيقًا عاليًا بين أعضاء الفريق الطبي، مضيفًا أن سرعة التدخل ساهمت في إنقاذ الذراع من مضاعفات كانت قد تصل إلى البتر.
ومن جانبه، أوضح الدكتور أحمد كمال، المدير التنفيذي للمستشفيات الجامعية، أن العملية تسلط الضوء على الإمكانات الطبية والبشرية المتميزة داخل مستشفى سوهاج الجامعي، وقدرته على التعامل مع الحالات الحرجة بكفاءة ودقة عالية.
وقال الدكتور ياسر عثمان، مدير وحدة جراحات اليد والجراحات الميكروسكوبية، وقائد الفريق الجراحي، إن العملية تضمنت استكشافًا دقيقًا للضفيرة العصبية، وفصل الأعصاب الطرفية بعناية عن الورم الضاغط، قبل استئصاله بنجاح، مشيرًا إلى أن الطفلة خرجت من غرفة العمليات في حالة جيدة ومستقرة، وتخضع حاليًا للمتابعة لضمان استعادة وظائف الذراع بشكل كامل.
وضم الفريق الطبي الذي أجرى العملية كلًا من الدكتور محمد شحاتة، والدكتور بسام عبد الرحيم، والدكتور مصطفى عبد اللاه، من وحدة جراحات اليد والجراحات الميكروسكوبية، والدكتور حسام حسن من قسم التخدير، إلى جانب مشاركة مميزة من طاقم التمريض بقيادة ميس ثناء إسماعيل.